How To Fix Your Broken Smile -
By the Board Certified Mexico Dentist Association
Does your smile look like you've been chewing on rocks?
Are your teeth chipped, cracked or broken - some with painful jagged edges? Do you self-consciously cover your mouth when you speak or are afraid to smile in public or for photos?
By the Board Certified Mexico Dentist Association
Does your smile look like you've been chewing on rocks?
Are your teeth chipped, cracked or broken - some with painful jagged edges? Do you self-consciously cover your mouth when you speak or are afraid to smile in public or for photos?
Here's some temporary and permanent remedies to fix your smile including dental pain relievers dental crowns, veneers.
A broken piece of tooth or
jagged edge inside the mouth can cause infection, injury and be a constant source irritation
to the tongue. If visible when you open your mouth or smile your self-esteem
can be adversely affected.
Almost as badly as if you had missing teeth!
Photo: Justin Bieber without teeth. Cosmetic dentistry candidate? Nope - he needs implants or dentures.
Almost as badly as if you had missing teeth!
Photo: Justin Bieber without teeth. Cosmetic dentistry candidate? Nope - he needs implants or dentures.
The following immediate remedies can be taken prior to seeing a dentist:
·
- For pain take Advil, Tylenol, Dolac and if you have an infection - Ampicillin the penicillin based anti-biotic.
- In many countries like Mexico you can buy it without a prescription or go to a generic pharmacy like Dr. Simi’s in Mexico where clinics are staffed with an in-house doctors who will consult and prescribe meds for $3-$5.
- A salt water or borax and water rinse can help. Use mouthwashes like Oral B Black and Original Listerine to alleviate pain, minor infection and abscesses.
- Sterilize a nail file or other small tool file and file the jagged edges down.
Ultimately professional care will be required to properly restore your smile. The following are some of the more commons solutions offered by dentists. Remember, that in Mexico and many other developing countries you will get the best results from Board Certified Dental Association dentists who have 2-4 more years’ specialist training in advanced procedures such as crowns, veneers, bridges and cosmetic dentistry.
Ultimately professional care will be required to properly restore your smile. The following are some of the more commons solutions offered by dentists. Remember, that in Mexico and many other developing countries you will get the best results from Board Certified Dental Association dentists who have 2-4 more years’ specialist training in advanced procedures such as crowns, veneers, bridges and cosmetic dentistry.
Dental Filling or Bonding: In the case of small chips - filling or bonding can solve the problem. For bonding, the tooth surface is etched with a liquid to roughen it and adhere the tooth color matching bonding material. Afterwards, an adhesive material is applied, followed by the bonding material. Lastly, an ultraviolet light will be used to harden the bonding material.
Dental Crown: In case of a lot of decay or breaking out of a large piece of tooth, the dentist grinds or files away a part of the remaining tooth and covers the same with a crown to protect the tooth and enhance its appearance. Porcelain and resin crowns can be made to match the original tooth.
Root
Canal, Post and Rebuild - In case the entire top of tooth is fully
broken along with the root in an intact position, the dentist performs a root
canal and places a pin or post in the canal. Afterwards, he builds up enough
structure onto which the crown can be made. In the later stage, the dentist may
cement the crown over the pin or post-retained restoration.
The crown can be easily installed within two visits. At the first visit, the dentist takes x-rays for checking the roots of tooth and surrounding bone. A putty like material will be used to make an impression of tooth which is about to receive the crown.
A temporary crown of thin metal is used till the permanent one gets ready from the lab. During the second visit, the temporary crown will be removed and the permanent one set.
The crown can be easily installed within two visits. At the first visit, the dentist takes x-rays for checking the roots of tooth and surrounding bone. A putty like material will be used to make an impression of tooth which is about to receive the crown.
A temporary crown of thin metal is used till the permanent one gets ready from the lab. During the second visit, the temporary crown will be removed and the permanent one set.
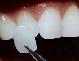
Dental Veneers: If visible front tooth is broken or chipped, a dental veneer may contribute in making it look healthy again. If teeth are badly stained or cracked often several or all the visible teeth may be veneered. A veneer is a thin shell of tooth-colored porcelain or resin composite material covering the whole front of tooth with a thicker section for replacing the broken part of tooth. Similar to a crown but 3-sided, thinner and more delicate.
In preparation, the
dentist removes about 0.3 to 1.2 mm of enamel from its surface. An impression
is sent to make the veneer. A dental lab needs to cast the veneer which can
take 3-5 working days and a 2nd
visit to the dentist is required to set the veneers.
Root canal therapy involves the removal of dead pulp from tooth, cleaning the same and sealing it. It is performed by general dentists and endodontic specialists in Mexico and many developing countries and only permitted to be performed by specialists with advanced training in most developed countries such as the USA and Canada.

Root canal therapy involves the removal of dead pulp from tooth, cleaning the same and sealing it. It is performed by general dentists and endodontic specialists in Mexico and many developing countries and only permitted to be performed by specialists with advanced training in most developed countries such as the USA and Canada.
In Mexico and many other developing nations,
you will get the best work from a board certified specialist who won’t be
learning on-the-job at your expense.
The cost of a specialist
vs. a general dentist in most developing countries is virtually identical
according to the American Dental Association, so when going offshore for your
dental work – take the ADA’s advice and choose one who is board certified in the
specialties you require.
A good place to begin
searching for one in Mexico is with the Board Certified Mexico Dental Association. You can get Free estimates and referrals there.
Visit: www.certifieddentists.org/
follow: how to fix dental tooth cracks and chips, mexico cosmetic dentistry, mexico root canal, mexico crown, mexico veneers, veneers, crowns, dental implant, dentures, dental implant mexico, board certified dentist, certified dentist mexico, board certified mexico dental association, justin bieber, justin bierber no teeth, certified tijuana dentist, certified cabo dentist
Visit: www.certifieddentists.org/
follow: how to fix dental tooth cracks and chips, mexico cosmetic dentistry, mexico root canal, mexico crown, mexico veneers, veneers, crowns, dental implant, dentures, dental implant mexico, board certified dentist, certified dentist mexico, board certified mexico dental association, justin bieber, justin bierber no teeth, certified tijuana dentist, certified cabo dentist
